
原來這就是補牙 網友驚嘆 藝術 療癒 東森新聞
新光醫院牙科部

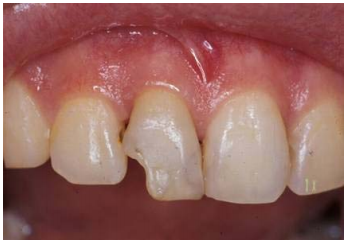
淺談牙齒復形高雄牙醫推薦 赫品牙醫診所的部落格 痞客邦
前牙美觀的樹脂復形 是臨床開業醫師最常遇到的問題 如何挑選病人 如何挑選材料 以及如何讓結果持久 在在都是心法與秘訣 成大斗六分院牙體復形科的李宗霖醫師 將於10月13日的會員大會中 不藏私地分享這幾年的經驗 同場也有廖峰聘醫師的解析 請會員與報名的學員
76 有一位20歲女性要求製作上顎右側正中門牙假牙 經臨床及x光檢查結果 該顆門 阿摩線上測驗
牙體復形學於假牙補綴修復之應用application Of The Operative Dentistry In Prosthetic Treatment 在進行假牙補綴修復時 針對大範圍缺牙區可以選擇以活動義齒修復 後牙區齒質缺失較多的牙齒以固定義齒修復 若是齒質完整但因為齒間縫隙影響美觀的前牙區呢 若是牙橋的
![]()
牙体复形 Wikiwand
微風專科聯合牙醫診所breeze Dental Center 診療項目 Breezedent Com Tw

Part1 1 牙科生物力學牙體復形及補綴實驗部分 Youtube
診療項目 東群牙醫聯盟tung Chun United Dental Clinics
補牙更好的選擇 全瓷嵌體 河堤小鹿牙醫診所 高雄牙醫推薦首選 全瓷冠 貼片 全瓷嵌體 Diitu Communities
Tags:
ARCHIVE